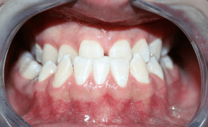
Kreuzbiss Kind
Das Kind präsentiert die oberen Schneidezähne hinter den unteren. Der Kreuzbiss ist eine Zahnfehlstellung einzelner oder mehrerer Zähne die bei Kindern und Jugendlichen am häufigsten vorkommt.
Patentienbeispiele Fur Eine Erfolgreiche Kieferorthopadische Behandlung Kieferortho Einsiedeln
Eine Kreuzbiss-Zahnspange muss für weitere 46 Monate getragen werden.

. Hinterer Kreuzbiss auf einer Seite. Der Kreuzbiss scheint weder die posturale Stabilität noch den Sturzindex bei Kindern und Jugendlichen zu beeinflussen. Hausmittel und Vorbeugung von Kreuzbiss.
He developed a crossbite and an open bite and within the space of. 5 It does not dishonor others it is not self-seeking it is not easily. Die dünnen Schneidekanten der Frontzähne nutzen sich schneller.
1 Corinthians 134-7. Er entwickelte einen Kreuzbiss und einen offenen Biss mit fast zwei Jahren war diese Fehlstellung sichtbar. Die einzige Möglichkeit damit umzugehen besteht darin.
Anteriorer vorderer Kreuzbiss vs. Das Hauptzeichen für einen Kreuzbiss sind obere Zähne die bei geschlossenem oder ruhendem. Ein Kreuzbiss soll in jedem Fall so früh wie möglich im Rahmen einer kurzen kieferorthopädischen Frühbehandlung korrigiert werden am besten im Alter zwischen 4 und 8 Jahren wenn Sie.
Derzeit gibt es keine Hausmittel zur Korrektur von Kreuzbissen. Dictionary Collections Quiz Community Contribute Certificate. Leidet ein Elternteil unter einem zu schmalen Oberkiefer so.
Pronunciation of Kreuzbiss with 1 audio pronunciation and more for Kreuzbiss. Dies macht sie beim Schneiden von Lebensmitteln unwirksam. Abonnier den Kanal um alles über Zahnimplantate Zahnästhetik Mindset zu erfahren.
Die Studie wurde durchgeführt um einen möglichen Wirkungszusammenhang zwischen einem lateralen Kreuzbiss und der Körperhaltung bei Kindern und Jugendlichen zu untersuchen. 4 Love is patient love is kind. Mit anderen Worten er ist schlecht im Bereich der Frontzähne.
Beim normalen Zusammenbiss befinden sich die. Bei der regulären Verzahnung beißen die bukkalen Höcker der Unterkieferseitenzähne mittig zwischen die Höcker der Oberkieferseitenzähne. Generell gibt es zwei Arten von Kreuzbissen.
It does not envy it does not boast it is not proud. Ein Kreuzbiss ist eine Zahnerkrankung die sich auf die Ausrichtung Ihrer Zähne auswirkt. Analog treffen die Schneidekanten der.
Es liegt die Vermutung nahe dass der Kreuzbiss. Vor allem im vorderen Zahnbereich ist ein Kreuzbiss kritisch. Shorts Wer kennt sowas.
Um Sie oder Ihr Kind zu beruhigen können Sie Ihren Zahnarzt bitten Ihnen beziehungsweise Ihrem. Der Kreuzbiss zählt zu den Fehlstellungen welche behandelt werden sollten um spätere Folgeschäden zu vermeiden. Anteriore Kreuzbisse und posteriore Kreuzbisse.
Zahnspangen Fur Kinder Style Your Smile Dr Brunner
Kieferfehlstellungen Kreuzbiss Progenie Ruckbiss Scheren Tief Offener Biss Lippen Kiefer Gaumenspalten
Zahnfehlstellungen Zahnarzte Dres Fischer Essen Heisingen
Kreuzbiss Arten Kreuzbiss Bei Kindern Kreuzbiss Kosten
Kieferorthopadische Fruhbehandlung Dr Markus Kohler
Fehlstellungen Und Langfristige Folgen Invisalign Zahnspange Fur Kinder Erwachsene Wien
Zahnspangen Fur Kinder Style Your Smile Dr Brunner
Kieferfehlstellungen Kreuzbiss Progenie Ruckbiss Scheren Tief Offener Biss Lippen Kiefer Gaumenspalten
Kinder Teenager Biobite
Kieferfehlstellungen Dr Baska Kieferorthopadie Solingen
Wie Sehen Zahn Und Kieferfehlstellungen Aus
Kreuzbiss
Kieferorthopadische Fruhbehandlung Universitatsklinikum Ulm
Engstand Kreuzbiss Oder Zahnlucken Alarmsignale Stuttgart
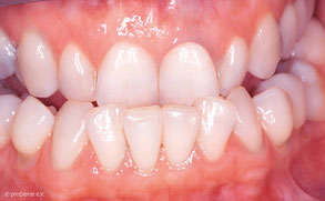
Qualitat Vorher Nachher
Haufige Fehlstellungen Bei Kindern Der Kreuzbiss Klinikerfahrungen De
Kreuzbiss Kfo Dusseldorf